Implantologie

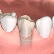
Die Implantologie ist die fortschrittlichste und ästhetisch anspruchsvollste Methode, um Lücken zu schließen und eine gesunde Kaufunktion wieder herzustellen. Implantatgetragene Zähne können Patienten in jeder Situation das Gefühl eigener Zähne vermitteln. Sie fühlen sich an wie natürliche Zähne, sitzen fest und fügen sich harmonisch in die individuelle Zahnumgebung ein.
Auch bei totalem Zahnverlust ermöglichen Implantate eine ästhetische und festsitzende Versorgung. Die dentale Implantologie eröffnet uns die Möglichkeit, Patienten in nahezu jeder Situation einen festsitzenden Zahnersatz anzubieten. Implantatgetragene Prothesen sitzen fest und rutschen nicht. Schmerzfreies Kauen wird zur Realität.
Implantologie aus einer Hand: In unserer Praxis werden die Implantate gesetzt (Implantatchirurgie) und auch prothetisch versorgt. Implantate werden so exakt da inseriert, wo die prothetische Planung es vorsieht.
Implantate versprechen natürliches Aussehen und ein sicheres Gefühl beim Sprechen, Essen und Lachen. Unser Ziel sind Ergebnisse, die Funktionalität mit hoher Ästhetik verbinden.
Behandlungszeiten
Di, Mi, Do:
Fr:
Adresse:
Telefon:
7:30 Uhr - 19:30 Uhr
7:30 Uhr - 13:00 Uhr und 14.30 Uhr - 18:00 Uhr
Termine auch nach Vereinbarung
Zahnarztpraxis Dr. Michael Behrends
MSC Implantologie
Robert Koch-Straße 17 · 50127 Bergheim
022 71 – 93 999
